Accepting New Patients
Friendly Staff Beautiful Smiles Welcoming Environment
We look forward to serving you!!
Dr. Barber is the largest provider of Sure Smile Orthodontic Aligners in the Pittsburgh region & one of Pittsburgh Magazine's Top Dentists 2012-2025.
Compared to other aligners, SureSmile Aligners straighten your teeth three months faster and with 50% less adjustments - giving you confidence worth smiling about.
SureSmile technology has been used to treat over 750,000 patients.
SureSmile has more than 20 years experience in orthodontic treatment and provides you with predictable compelling results. With SureSmile you can rest east knowing that you've chosen the better treatment experience.
GET THE SMILE YOU HAVE ALWAYS WANTED - ASK TODAY ABOUT STARTING SURESMILE CLEAR ALIGNERS!
*SureSmile Aligners are 30% less in cost than Invisalign*
FREE SURESMILE CONSULT!!
We will simulate your new straight, white smile for you at no cost!
JUST ASK!
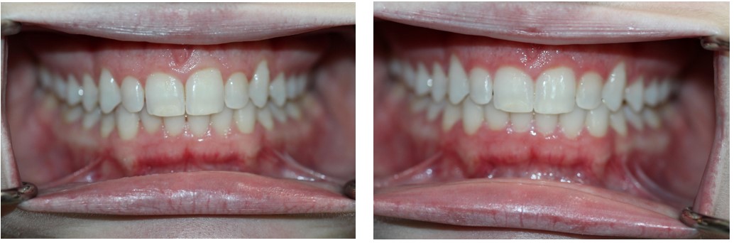
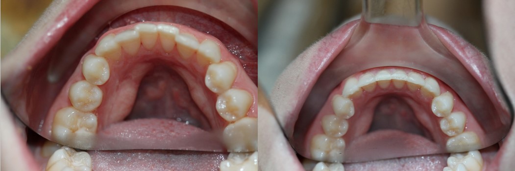
SEE THIS MONTHS SUCCESS STORY BELOW!
"I had a great experience with SureSmile Aligners. It was easy to keep up with and hardly anyone noticed them! My teeth are so much better and even my headaches and jaw paint I had experienced before treatment decreased dramatically. Great experience and highly recommend!" - Shae H











