Digital x-rays are quickly becoming adopted by a large percentage of the dental industry. A digital x-ray allows the dentist to take an image of the tooth or teeth and put it into an imaging program. Within this imaging program, there are a number of tools that will allow the dentist to take a very close look at the teeth and surrounding structures with amazing accuracy. As a benefit to the patient, the digital x-ray also provides nearly 80% less radiation than a standard x-ray. This is due to the fact that the digital version of the x-ray is much more sensitive to this radiation and has been specifically designed with the patient in mind.
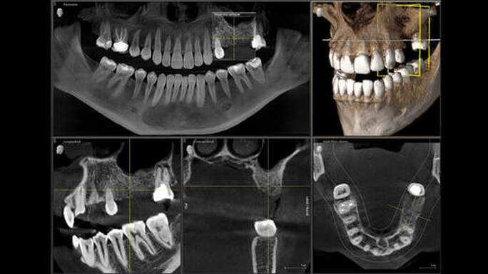
CBCT (Cone Beam Computed Tomography)
The CBCT a specialized medical imaging technique that created detailed 3D images of the oral and maxillofacial area. Unlike traditional 2D x-rays, CBCT provides a comprehensive view of the anatomy, including bone, teeth, nerves, and soft tissues, from multiple angles. This allows for precise diagnosis and treatment planning in various dental procedures.

